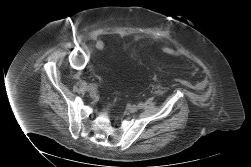
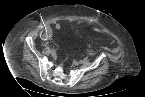
Abscess Drainage: Case 1

   

23 year old female with fever and RLQ tenderness s/p appendectomy.

Comment: This case demonstrates performance of a straight-forward CT-guided drainage. Once the abscess was localized on CT and the access site confirmed with a 25g needle, the collection was accessed with a Chiba needle and a guidewire was coiled within the collection. Serial dilatation was then performed so that a pigtail drainage catheter could be placed within the collection for drainage.