Albany IR
Home
About
Patient Care
Education
Research
Blog
Twitter
Search
Contact
Albany IR
Home
About
Patient Care
Education
Research
Blog
Twitter
Search
Contact
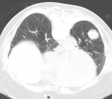
Interventional Oncology: Case 1
64 year old female with a history of smoking who presents with a new lung mass.
View fullsize
View fullsize
View fullsize
View fullsize