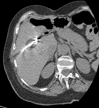
Interventional Oncology: Case 2

   

69 year old female with a known history of colon cancer who presents with a new liver mass on surveillance imaging.