Interventional Oncology: Case 4
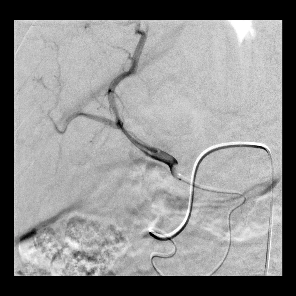
73 year old male with HCC and a known occlusion of the superior mesenteric artery. He presents for radioembolization.
73 year old male with HCC and a known occlusion of the superior mesenteric artery. He presents for radioembolization.