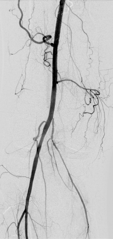
PERIPHERAL ARTERIAL DISEASE: CASE 1

   

74 year old patient with a history of non-insulin dependent diabetes, hypercholesterolemia, and hypertension who presents to our office with right lower extremity intermittent claudication. His history is also significant for coronary artery disease.