Albany IR
Home
About
Patient Care
Education
Research
Blog
Twitter
Search
Contact
Albany IR
Home
About
Patient Care
Education
Research
Blog
Twitter
Search
Contact
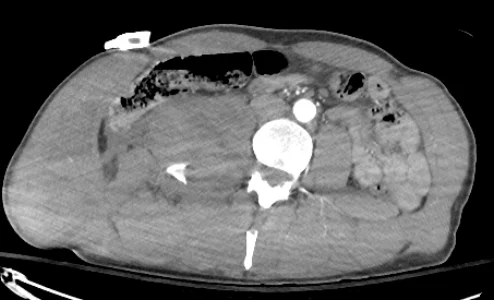
trauma embolization: case 1
42 year old patient with back pain s/p MVA.
View fullsize
View fullsize
View fullsize
View fullsize
View fullsize
View fullsize
View fullsize