Albany IR
Home
About
Patient Care
Education
Research
Blog
Twitter
Search
Contact
Albany IR
Home
About
Patient Care
Education
Research
Blog
Twitter
Search
Contact
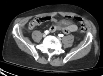
TRAUMA EMBOLIZATION: Case 2
55 year old male patient with abdominal pain s/p motorcycle accident.
View fullsize
View fullsize
View fullsize
View fullsize
View fullsize
View fullsize