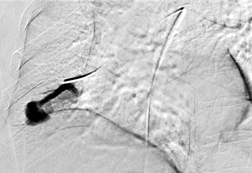
Vascular Malformations: Case 1

   

40 year old male patient with a history of HHT who presents with an incidentally found pulmonary AVM.