Albany IR
Home
About
Patient Care
Education
Research
Blog
Twitter
Search
Contact
Albany IR
Home
About
Patient Care
Education
Research
Blog
Twitter
Search
Contact
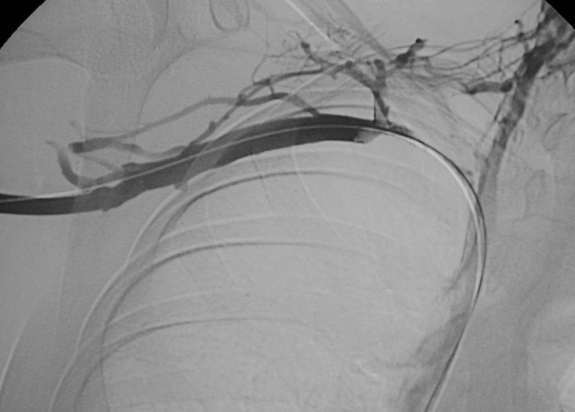
venous thromboembolic disease: Case 4
21 year old college basketball player who presents with right upper extremity swelling for 6 days.
View fullsize
View fullsize
View fullsize
View fullsize
View fullsize
View fullsize
View fullsize