Albany IR
Home
About
Patient Care
Education
Research
Blog
Twitter
Search
Contact
Albany IR
Home
About
Patient Care
Education
Research
Blog
Twitter
Search
Contact
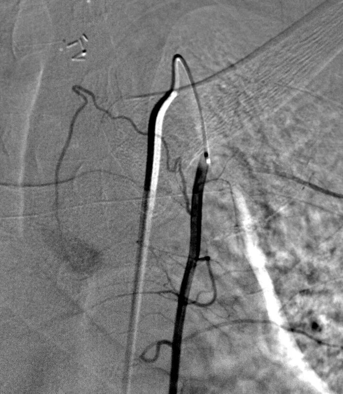
Visceral Embolization: Case 5
37 year old male with recurrent hyperparathyroidism after parathyroidectomy.
View fullsize
View fullsize
View fullsize
View fullsize
View fullsize
View fullsize
View fullsize
View fullsize